Fortis Life Sciences

Focus on Stem Cell Biology

Stem cell biology is a tightly regulated process that begins during embryonic development and is present in the body in various forms through adulthood. Stem cells have the unique property of being self-renewing and either multipotent or pluripotent. Most cells in an organism are terminally differentiated, meaning that they no longer proliferate. On the other hand, pluripotent stem cells can differentiate into any tissue type (or divide to produce more stem cells, i.e., their self-renewing characteristic). Multipotent stem cells are adult stem cells that can differentiate into the terminally differentiated cells of a specific organ/tissue in which they reside.

During embryonic development, totipotent and pluripotent stem cells can both be found, depending on the stage of development. Totipotent stem cells are found immediately after the fusion of the sperm and egg. They only exist for the first few rounds of embryonic cell division and can develop into all differentiated cell/tissue types of the organism and the placenta. Pluripotent stem cells are first identified in the blastocyst stage in mammalian embryos and can develop into all differentiated cell/tissue types in an organism. The blastocyst's inner cell mass is comprised of these pluripotent stem cells.

In adulthood, somatic stem cell proliferation is a key process in recovery from tissue injury and disease. Not every adult organ contains stem cells, and this impacts the organ/tissue's ability to regenerate. Some adult organs that contain stem cells include the bone, skin, liver, intestine and skeletal muscle. Each of these niches contains stem cells that are partially differentiated, able to differentiate into organ-specific cell types. For example, hematopoietic stem cells (HSCs) are found in the bone marrow and can differentiate into all blood cell types1, whereas hepatic stem cells (i.e., oval cells or hepatocytes) have the potential to become either hepatocytes or cholangiocytes2. Furthermore, some organs, like the intestine, are frequently regenerating, while others, such as fat and muscle, can regenerate in response to tissue damage1.

Additionally, pluripotent stem cells can be laboratory-generated, and these cells are referred to as induced pluripotent stem cells, or iPSCs. Like somatic stem cells, iPSCs are typically engineered to regenerate the cell subsets of a particular organ. The factors responsible for the differentiation process are largely unique from organ to organ, although some common signaling pathways and downstream mediators do appear3. These include the Akt/AMPK axes, physical mediators of cell-cell contact such as adherens junctions and Wnt signaling, and metabolic changes.

Diagram of the process for generating human umbilical cord derived mesenchymal stem cell sheets for clinical applications.

Human Umbilical Cord Derived Mesenchymal Stem Cell Sheets for Clinical Use

With the incredible therapeutic potential of human umbilical derived mesenchymal stem cell sheets, manufacturing, preservation, and quality standards needed to be developed to ensure patient safety. Researchers developed culture and preservation methods that were able to be scaled up into a two-tiered cell bank system that maintained quality, integrity, and functionality of the mesenchymal stem cells.

Read Article
Several cells, with a purple nucleus and a light purple cytoplasm, over a white background.

The Speed Limit of the Cell Cycle

The growth and division of cells, a process termed the cell cycle, consists of four phases in eukaryotes. DNA replication occurs during the synthesis (S) phase whereas cell division occurs during the mitosis (M) phase. Two additional gap phases (G1 and G2) that occur before the S and M phases, respectively, identify any problems during DNA replication and chromosome segregation, and pause the cycle in order to allow for appropriate repairs.

Read Article
The Rb-E2F bistable switch and the E2F activation threshold control the transition between quiescence, cell cycle entry, and proliferation. Elements of the system depicted in Green lower the E2F threshold and promote entry into the cell cycle. Elements shown in Red raise the E2F threshold and promote entry into a state of quiescence (G0).

The Rb-E2F Switch: Regulation of Cellular Quiescence

Cell cycle progression and proliferation have been well-studied, while much less attention has been given to cellular quiescence corresponding to the G0 phase of the cell cycle. Recent studies have determined that G0 is not a single state, but a spectrum of quiescent states associated with an active transcriptional program.

Read Article
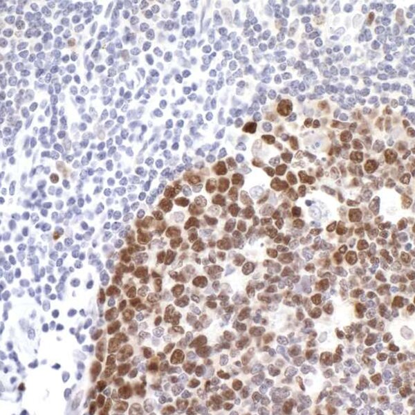
IHC image showing cell nuclei in blue and Ki67 marked in brown.

Ki-67: A Nuclear Antigen Uniquely Qualified as a Marker of Cellular Proliferation

Cellular proliferation is a fundamental biological process controlled by complex regulatory networks. Careful control of these networks is necessary for normal growth and development as well as for the body’s systemic response to infection or injury. Disruption or dysregulation of the mechanisms controlling cellular proliferation may result in inappropriate proliferation, such as in the formation and growth of tumors.

Read Article
ALDH1A1 and ALDH1A3 peptides were used to stimulate dendritic cells to create a dendritic cell vaccine. This dendritic cell vaccine activated CD8+ T-cells. The activated CD8 T-cells in combination with PD-L1 blockade therapy caused cell death in ALDHhigh cancer stem cells.

Targeting cancer stem cells with dendritic cell vaccines in melanoma

Dendritic cell vaccines targeting aldehyde dehydrogenases via peptides to ALDH1A1 and ALDH1A3 were able to reduce cancer stem cell numbers, decrease tumor growth, and increase T-cell infiltration and cytotoxic activity. This activity was enhanced with the addition of PD-L1 blockade providing additional therapeutic strategies to improve the efficacy of immune checkpoint blockade.

Read Article

Sign up to receive future Focus on… features