Fortis Life Sciences

Ki-67: A Nuclear Antigen Uniquely Qualified as a Marker of Cellular Proliferation

Cellular proliferation is a fundamental biological process controlled by complex regulatory networks. Careful control of these networks is necessary for normal growth and development as well as for the body’s systemic response to infection or injury. Disruption or dysregulation of the mechanisms controlling cellular proliferation may result in inappropriate proliferation, such as in the formation and growth of tumors.

Numerous molecules are involved in cell cycle regulation, and there is considerable interest in identifying an antigen that can be used as a marker to specifically identify actively proliferating cells. For such an antigen to have clinical application, two basic criteria must be met: (1), the antigen should be present in all cell types during active proliferation, and (2), the antigen should rapidly degrade once the cell enters a quiescent phase.1 The proliferation-associated nuclear antigen Ki-67 fits the bill. The Ki-67 antigen was originally identified in 1983, and named for its city of origin (Kiel, Germany) and the number of the original clone within the 96-well plate.2,3 The primary reason Ki-67 is so useful in clinical and research applications is that Ki-67 is expressed in all active phases of the cell cycle (G1, S, G2, mitosis), but is consistently absent in quiescent cells (G0).3 Unlike other cell-cycle associated proteins, Ki-67 is not detectable during DNA repair process, and it is also rapidly degraded, with a half-life of only 1-1.5 hours.3,4

These features make the Ki-67 antigen an excellent marker to identify cells that are actively proliferating, both in normal and tumor cell populations. While cellular proliferation can be assessed by a number of methods, immunohistochemical staining for the Ki-67 antigen is the most commonly studied. It has become widely used in histopathology, particularly as a proliferation marker in various tumor types. High proliferation rate is a hallmark of cancer, and numerous human studies have found overexpression of Ki-67 to be associated with neoplasms ranging from breast,5 lung,6 kidney,7 bladder,8 brain,9 ovary,10 prostate,11 and thyroid,12 as well as in neuroendocrine tumors.12 Beyond its use in diagnosis and prognostic determinations of varied neoplasms, Ki-67 labeling index, or the percentage of immunoreactive cell nuclei, has also been used to make treatment decisions in cases of hormone-receptive breast cancer.13

Ki-67 is a well characterized proliferation-associated nuclear antigen with great utility in histopathology. It can be used to identify proliferating cells in healthy tissues, but is most often used as a diagnostic tool in various cancers ranging from breast to thyroid. Bethyl currently offers polyclonal and rabbit recombinant monoclonal Ki-67 antibodies for immunohistochemistry, immunocytochemistry, western blot, and proximity ligation assay applications.

Detection of human Ki-67 in FFPE tonsil by IHC. Antibody: Rabbit anti-Ki-67 recombinant monoclonal [BLR021E] (A700-021). Secondary: HRP-conjugated goat anti-rabbit IgG (A120-501P). Substrate: DAB.

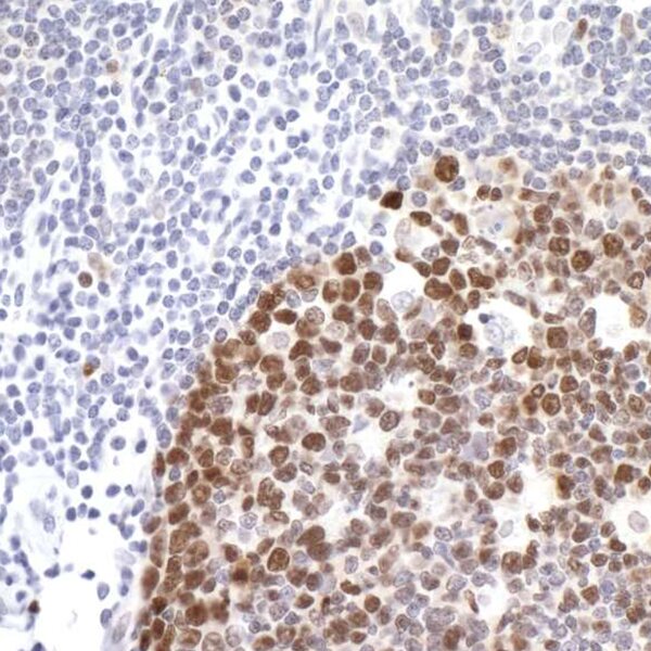
Detection of mouse Ki-67 in FFPE mouse intestine by IHC. Antibody: Affinity purified rabbit anti-mouse Ki-67 (IHC-00375). Secondary: HRP-conjugated goat anti-rabbit IgG (A120-501P). Substrate: DAB.

References

  1. van Dierendonck JH, KeijzerR, van de Velde CJ, Cornelisse CJ. 1989. Nuclear distribution of the Ki-67 antigen during the cell cycle: comparison with growth fraction in human breast cancer cells. Cancer Res. Jun;49:2999-3006.
  2. Gerdes J, Schwab U, Lemke H, Stein H. 1983. Production of a mouse monoclonal antibody reactive with a human nuclear antigen associated with cell proliferation. Int J Cancer. Jan;31(1):13-20.
  3. Scholzen T, Gerdes J. 2000. The Ki-67 protein: from the known and the unknown. J Cell Physiol. Mar;182(3):311-322.
  4. Rahmanzadeh R, Huttmann G, Gerdes J, Sholzen T. 2007. Chromophore‑assisted light inactivation of pKi-67 leads to inhibition of ribosomal RNA synthesis. Cell Prolif. Jun;40(3):422-430.
  5. Viale G, Giobbie-Hurder A, Regan MM, Coates AS, Mastropasqua MG, Dell'Orto P, Maiorano E, et al. 2008. Prognostic and predictive value of centrally reviewed Ki-67 labeling index in postmenopausal women with endocrine-responsive breast cancer: results from Breast International Group Trial 1-98 comparing adjuvant tamoxifen with letrozole. J Clin Oncol. Dec 1;26(34):5569-5575.
  6. Shiba M, Kohno H, Kakizawa K, Iizasa T, Otsuji M, Saitoh Y, Hiroshima K, et al. 2000. Ki-67 immunostaining and other prognostic factors including tobacco smoking in patients with resected nonsmall cell lung carcinoma. Cancer. Oct;89:1457-1465.
  7. Xie Y, Chen L, Ma X, Li H, Gu L, Gao Y, Fan Y, et al. 2017. Prognostic and clinicopathological role of high Ki-67 expression in patients with renal cell carcinoma: a systematic review and meta-analysis. Sci Rep. Mar;7:44281.
  8. Tian Y, Ma Z, Chen Z, Li M, Wu Z, Hong M, Wang H, et al. 2016. Clinicopathological and prognostic value of Ki-67 expression in bladder cancer: a systematic review and meta-analysis. PLoS One. Jul;11:e0158891.
  9. Johannessen AL, Torp SH. 2006. The clinical value of Ki-67/MIB-1 labeling index in human astrocytomas. Pathol Oncol Res. Sep;12:143-147.
  10. Battista MJ, Mantai N, Sicking I, Cotarelo C, Weyer V, Lebrecht A, Solbach C, et al. 2014. Ki-67 as an independent prognostic factor in an unselected cohort of patients with ovarian cancer: results of an explorative, retrospective study. Oncol Rep. May;31:2213-2219.
  11. Tisell LE, Oden A, Muth A, Altiparmak G, Mõlne J, Ahlman H, Nilsson O. 2003. The Ki67 index a prognostic marker in medullary thyroid carcinoma. Br J Cancer. Dec;89:2093-2097.
  12. Dwivedi SS, Khandeparkar SG, Joshi AR, Kulkarni MM, Bhayekar P, Jadhav A, Nayar M, et al. 2016. Study of immunohistochemical markers (CK-19, CD-56, Ki-67, p53) in differentiating benign and malignant solitary thyroid nodules with special reference to papillary thyroid carcinomas. J Clin Diagn Res. Dec;10:EC14-EC19.
  13. Li LT, Jiang G, Chen Q, Zheng JN. 2015. Ki67 is a promising molecular target in the diagnosis of cancer (review). Molecular Medicine Reports. Mar;11:1566-1572.