Fortis Life Sciences

Hypoxia Signaling: HIF1-alpha & HIF2-alpha Recombinant Rabbit Monoclonal Antibodies

The hypoxic response pathway is triggered by low levels of oxygen in the cellular environment. Hypoxia inducible transcription factor (HIF) is central to the hypoxic response. HIF exists as a heterodimeric transcription factor composed of an alpha and beta subunit. In mammals there are three HIF-alpha subunits, HIF1-alpha, HIF2-alpha, and HIF3-alpha, and one beta subunit, the aryl hydrocarbon receptor nuclear translocator (ARNT). The overexpression of HIF1-alpha and HIF2-alpha is associated with poor survival rates for various cancers. Experimental and clinical evidence strongly suggests HIF1-alpha and HIF2-alpha influence tumor development and response to treatment. Because of this, there has been major interest in developing selective HIF inhibitors; but due to the complexity of the HIF pathway, the process has been challenging. Thus, future work for therapeutic targeting of the HIFs will require a better understanding of both the HIF1-alpha and HIF2-alpha pathways.

HIF2A

70% of the nearly 64,000 cases of kidney cancers diagnosed each year in the U.S. are classified as clear-cell renal carcinoma (ccRCC). In ccRCC, the von Hippel-Lindau tumor suppressor gene (VHL) is the most frequently mutated gene. VHL loss in ccRCC is described as a "truncal" event: an early lesion that conspires with later genetic hits to lead to kidney cancer. When VHL is absent, HIF2-alpha accumulates, resulting in the activation of transcriptional programs accommodating angiogenesis and the adaptation of cells to hypoxia. An understanding of this mechanism has led to the discovery of a number of drugs that target HIF2-alpha effectors. For example, there are currently at least six drugs approved by the FDA targeting VEGF or its receptor. Despite the proven efficacy of these drugs, the clinical response to these agents has been found to be temporary as tumor cells can become resistant.

If HIF2-alpha could be targeted directly, it may be possible to cast a wider net to inhibit multiple transcriptional and signaling programs led by HIF2-alpha-responsive genes. Since transcription factors are viewed as undruggable, this concept has been deemed unapproachable. However, the recent discovery of a pocket in the PAS-B domain of HIF2-alpha responsible for mediating the dimerization between HIF2-alpha and its obligatory partner, ARNT, has led to the idea of designing small molecular drugs that could prevent dimerization, and thus antagonize HIF2-alpha transcriptional activity. Scientists at Peloton Therapeutics in Dallas, Texas have discovered a class of small molecular compounds able to antagonize HIF2-alpha transcriptional programs by inhibiting HIF2-alpha-ARNT dimerization. In vitro studies as well as studies in xenograft ccRCC models conducted at Peloton and in two academic labs have evaluated the anti-tumor efficacy of these compounds. The studies showed that one of these small-molecule drugs effectively inhibited tumor progression. Furthermore, the most promising data comes from the study by Chen et al., which showed a patient with metastatic ccRCC remained free of progression for more than 11 months after treatment with the small-molecule drug. The next steps will require the discovery of predictive biomarkers to identify patients that would be responsive to treatments aimed at dismantling HIF2 transcriptional programs and further validation of HIF2-alpha as a target for the treatment of ccRCC.

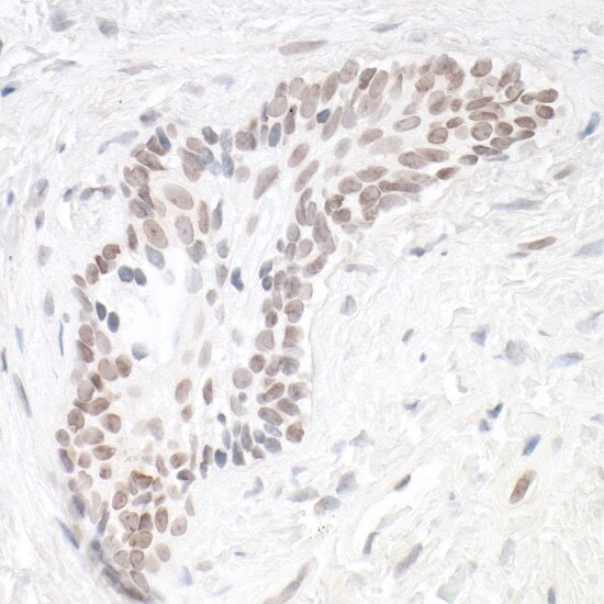
Detection of human HIF1-alpha in FFPE renal cell carcinoma by IHC. Antibody: Rabbit anti-HIF1-alpha recombinant monoclonal [BL-124-3F7] (A700-001). Secondary: HRP-conjugated goat anti-rabbit IgG (A120-501P). Substrate: DAB.

Detection of human HIF2-alpha (red) in formaldehyde-fixed asynchronous HepG2 cells untreated (left) and treated with CoCI2 (right) by ICC-IF. Antibody: Rabbit anti-HIF2-alpha recombinant monoclonal [BL-95-1A2] (A700-003). Secondary: DyLight® 594-conjugated goat anti-rabbit IgG (A120-201D4). Counterstain: DAPI (blue).

Detection of human HIF2-alpha by WB of immunoprecipitates from HEPG2 lysate treated with 200 µM CoCl2 (+) or mock treated (-). Antibody: Rabbit anti-HIF2-alpha recombinant monoclonal [BL-95-1A2] (A700-003). Secondary: ReliaBLOT® reagents (WB120).

Localization of human HIF1-alpha binding sites in immunoprecipitates from CoCl2 treated HepG2 lysates by ChIP-Seq. Antibody: Rabbit anti-HIF1-alpha recombinant monoclonal [BL-124-3F7] (A700-001).

Bethyl's Antibodies vs Competitors'

Antibodies against HIF2-alpha were assessed for specificity by immunocytochemistry (ICC). HIF2-alpha protein is rapidly degraded under normoxic conditions and stabilized under hypoxic conditions. Cobalt chloride treatment can be used as a mimetic agent for hypoxia to stimulate HIF2-alpha stabilization. Antibodies against HIF2-alpha were compared by staining HepG2 cells treated with cobalt chloride or mock-treated.

The antibodies included a Bethyl recombinant rabbit monoclonal antibody (Catalog #A700-003), a widely available mouse monoclonal, clone EP190b, from Competitor A, and a goat polyclonal from Competitor B. As expected, in untreated cells, no staining was observed for all antibodies except the Competitor B goat polyclonal, which exhibited off-target nuclear staining. In treated cells, upregulated, nuclear localized, HIF2-alpha was correctly detected by Bethyls Cat#A700-003. This was in contrast to Competitor A's antibody which detected an upregulated protein incorrectly localized to the cytoplasm, and Competitor B's antibody which detected no change in response to treatment.


All antibodies were tested as per supplier datasheets.

References

  1. Patel PH, Chadalavada RS, Chaganti RS, Motzer RJ. 2006. Targeting von Hippel-Lindau pathway in renal cell carcinoma. Clin Cancer Res. Dec 15;12(24):7215-20.
  2. Cho H, Kaelin WG. 2016. Targeting HIF2 in clear cell renal cell carcinoma. Cold Spring Harb Symp Quant Biol 81: 113-121.
  3. Wallace EM, Rizzi JP, Han G, Wehn PM, Cao Z, Du X, Cheng T, Czerwinski RM, Dixon DD, Goggin BS, et al. 2016. A small-molecule antagonist of HIF2α is efficacious in preclinical models of renal cell carcinoma. Cancer Res. Sep 15;76(18):5491-500.
  4. Chen W, Hill H, Christie A, Kim MS, Holloman E, Pavia-Jimenez A, Homayoun F, Ma Y, Patel N, Yell P, et al. 2016. Targeting renal cell carcinoma with a HIF-2 antagonist. Nature. Nov 3;539(7627):112-117.
  5. Cho H, Du X, Rizzi JP, Liberzon E, Chakraborty AA, Gao W, Carvo I, Signoretti S, Bruick RK, Josey JA, et al. 2016. On-target efficacy of a HIF-2α antagonist in preclinical kidney cancer models. Nature. Nov 3;539(7627):107-111.