Fortis Life Sciences

FOXP3: Critical for the Immunosuppressive Function of Regulatory T cells

Regulatory T cells (Treg) are essential for preventing autoimmunity and maintaining peripheral tolerance by downregulating the activation and expansion of effector T cells. Treg are phenotypically diverse and express a number of biomarkers. These biomarkers include cluster of differentiation 4 (CD4) and CD25, while a subset of Treg also express the transcription factor forkhead box P3 (FOXP3). Located on the X chromosome, FOXP3 is crucial for maintaining the functions of Treg.1 FOXP3 plays a critical role in Treg differentiation, and its expression is directly linked to the immunosuppressive activity of these cells.2

The FOXP3 gene has been characterized in both humans and mice. In humans, FOXP3 mutation leads to the development of immune dysregulation, polyendocrinopathy, enteropathy, X-linked (IPEX).3 Treg cell number appears normal in IPEX, but the ability of Treg to suppress effector T cells is significantly impaired.4 In contrast to humans, FOXP3 mutation in mice results in depletion of CD4+ CD25+ T cells.5 In both humans and mice, FOXP3 loss-of-function mutation leads to early onset fatal immune dysfunction.

The hypoxic tumor microenvironment promotes recruitment of FOXP3+ Treg, which preferentially infiltrate and accumulate within tumors.6 These FOXP3+ Treg can play dueling roles in the immune response to cancer in that they may essentially aid tumor growth by suppressing effector immune response, or they may protect against tumor progression by downregulating inflammation.7 This is demonstrated in that FOXP3+ Treg are associated with reduced overall survival in breast, renal, and cervical cancer as well as in melanoma, but contrastingly are associated with improved survival in colorectal, head and neck, and esophageal cancers.8 Thus, the prognostic value of FOXP3+ Treg may depend on tumor site, stage, and molecular subtype.

Treg have been the target of various cancer therapies, and anti-CD25 antibodies or low dose chemotherapy, for example, may effectively deplete Treg.9 However, nonspecific global depletion of Treg can also potentiate autoimmunity. More recent findings regarding the role of FOXP3 in Treg function have allowed for development of therapies which more specifically target Treg within the tumor microenvironment. Multiple small molecule drugs targeting FOXP3 have achieved downregulation of FOXP3 expression as well as protection against tumor implantation in mouse models.9 In addition to small molecules, FOXP3 has also been targeted by vaccine therapy, which can specifically deplete the tumoral (but not peripheral) Treg, potentially preventing the widespread autoimmunity observed with nonspecific Treg depletion.9 Assuming FOXP3+ Treg can be efficiently and specifically isolated and grown in culture, histone deacetylase inhibitors may also provide an opportunity to maintain or enhance functional stability of infused Treg cells.7

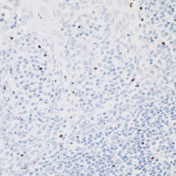
Detection of human FOXP3 in FFPE human tonsil by IHC. Antibody: Rabbit anti-FOXP3 recombinant monoclonal [BLR034F] (A700-034). Secondary: HRP-conjugated goat anti-rabbit IgG (A120-501P). Substrate: DAB.

Detection of human FOXP3 by WB of immunoprecipitates from MJ lysate. Antibodies: Rabbit anti-FOXP3 recombinant monoclonal [BLR034F] (A700-034) and rabbit anti-FOXP3 recombinant monclonal [574-2H2].

References

  1. Williams LM, Rudensky AY. 2007. Maintenance of the Foxp3-dependent developmental program in mature regulatory T cells requires continued expression of Foxp3. Nat Immunol. Mar;8(3):277-284.
  2. Zheng Y, Rudensky AY. 2007. Foxp3 in control of the regulatory T cell lineage. Nat Immunol. May;8(5):457-462.
  3. Bennett CL, Christie J, Ramsdell F, et al. 2001. The immune dysregulation, polyendocrinopathy, enteropathy, X-linked syndrome (IPEX) is caused by mutations of FOXP3. Nat Genet. Jan;27(1):20-21.
  4. Bacchetta R, Passerini L, Gambineri E, et al. 2006. Defective regulatory and effector T cell functions in patients with FOXP3 mutations. J Clin Invest. Jun;116(6):1713-1722.
  5. Brunkow ME, Jeffery EW, Hjerrild KA, et al. 2001. Disruption of a new forkhead/winged-helix protein, scurfin, results in the fatal lymphoproliferative disorder of the scurfy mouse. Nat Genet. Jan;27(1):68-73.
  6. Facciabene A, Peng X, Hagemann IS, et al. 2011. Tumour hypoxia promotes tolerance and angiogenesis via CCL28 and T(reg) cells. Nature. Jul;475(7355):226-230.
  7. Sakaguchi S, Miyara M, Costantino C, et al. 2010. FOXP3+ regulatory T cells in the human immune system. Nat Rev Immunol. Jul;10(7):490-500.
  8. Chang B, Liu Y, Shu-Juan J, et al. 2015. Prognostic value of tumor-infiltrating FoxP3+ regulatory T cells in cancers: a systematic review and meta-analysis. Sci Rep. Oct;5:15179.
  9. Devaud C, Darcy P, Kershaw M. 2014. Foxp3 expression in T regulatory cells and other cell lineages. Cancer Immunol Immunother. Sep;63(9):869-876.