Fortis Life Sciences

CD247/CD3Z: The Gatekeeper of T-cell Activation

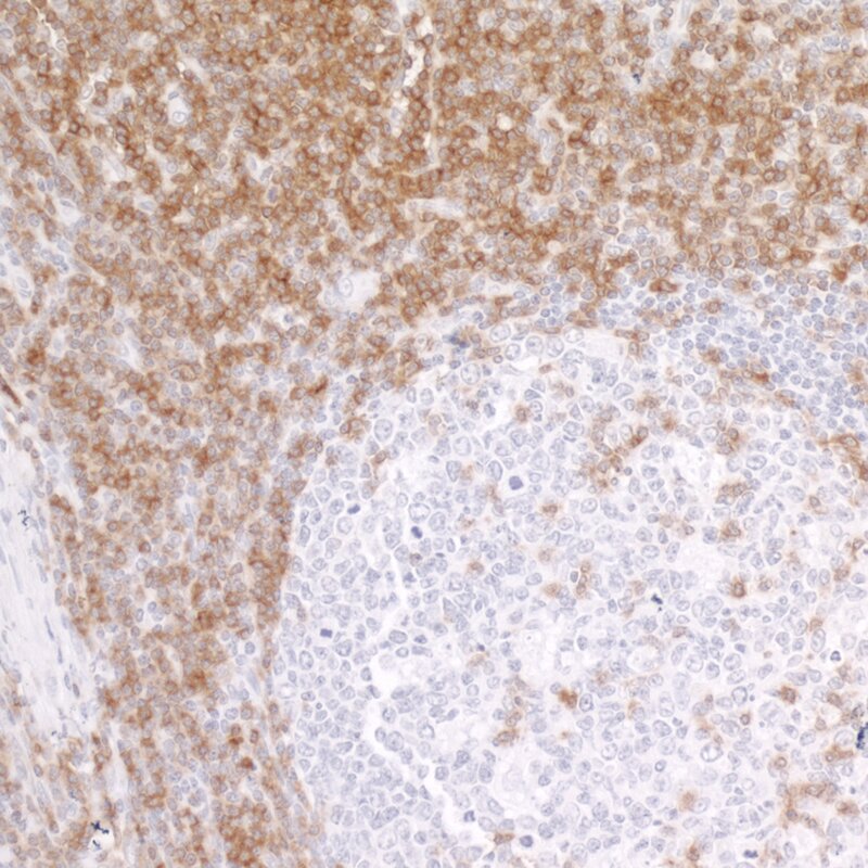
Detection of human CD247/CD3Z in FFPE tonsil IHC. Antibody: Rabbit anti-CD247/CD3Z recombinant monoclonal [BL-336-1B2] (A700-017). Secondary: HRP-conjugated goat anti-rabbit IgG (A120-501P). Substrate: DAB.

The TCR-CD3 complex plays an essential role in the adaptive immune response. Present on the cell surface, the T-cell receptor (TCR) initiates T-cell activation by recognizing antigens bound to the major histocompatibility complex (MHC) molecule.1 However, due to the TCR’s extremely sort cytoplasmic tail it is dependent on the CD3 complex for signaling, effectively making the CD3 complex the gatekeeper for T-cell activation.2 While the CD3 complex consists of multiple components, CD247/CD3Z is arguably the most important due to its role in signal transduction and its potential use as a biomarker for evaluating the status of immune system.3

Structurally, the TCR-CD3 complex consists of the TCR and the CD3 complex. The TCR is a heterodimer composed of two different protein chains. In 95% of T-cells the TCR consists of an alpha (α) and beta (β) chain, whereas 5% of T-cells have a gamma (γ) and delta (δ) chain instead. Only the α/β heterodimer interacts with the CD3 complex with both the α and β chain have a variable domain that is capable of binding to an MHC molecule.1,4 The CD3 complex consists of four CD3 chains (CD3D, CD3G, CD3E and CD247/CD3Z) which form two heterodimers (CD3D-CD3E and CD3G-CD3E) flanking either side of the TCR and one homodimer of CD247/CD3Z sitting below the α/β heterodimer.1,2 All four CD3 chains contain immunoreceptor tyrosine-based activation motifs (ITAMs) in their cytoplasmic domain that are capable of being phosphorylated.

The activation of the TCR by an MHC molecule sets off a signaling cascade that allows T-cells to differentiate, proliferate and secrete cytokines. First, depending on the type of T-cell either the TCR co-receptor CD4 or CD8 binds to the MHC molecule activating the tyrosine kinase Lck.5,6 Next, Lck phosphorylates the intracellular ITAMs of the CD3 complex creating a docking site for protein kinase ZAP-70. CD247/CD3Z is particularly important because it's the only CD3 component that has multiple ITAM sites which allows ZAP-70 to bind in a position that enables the phosphorylation of the transmembrane protein linker of activated T cells (LAT).7,8 Once phosphorylated, LAT acts as a docking site for SH2 domain-containing proteins recruiting multiple downstream signaling molecules. Ultimately, this culminates in the activation of important signaling pathways including the Ras-MEK-ERK pathway and transcription factors NF-kB, NFAT and AP-11.

Given the role of CD247/CD3Z in T-cell activation it's not surprising that it may also be an important biomarker for evaluating the immune status of patients with diseases characterized by chronic inflammation.9,10,11,12,13 During chronic inflammation T-cell activation is suppressed, which is associated with the downregulation of only CD247/CD3Z while the remaining components of the TCR-CD3 complex are unaffected.14 Additionally, when inflammation is treated CD247/CD3Z levels normalize suggesting it's a correlate for T-cell activation. Given this, CD247CD3Z is being investigated as a potential biomarker for determining the immune status and disease severity where traditional inflammation biomarkers like hs-CRP and TNF-α are not specific to T-cell activation.14

Taken together, CD247/CD3Z plays an incredibly important role in the activation of T-cells. As part of the TCR-CD3 complex, CD247/CD3Z is an important docking site for ZAP-70 which is critical for downstream signaling of the TCR-CD3 complex. Lastly, CD247/CD3Z is also potentially a valuable biomarker for checking the immune status in patients.

References

  1. Smith-Garvin JE, Koretzky GA, Jordan MS. 2010. T Cell Activation. Annu Ref Immunol. 27:591-619.
  2. Clevers H, Alarcon B, Wileman T, Terhorst C. 1988. The T cell receptor/CD3 complex: a dynamic protein assemble. Annu Rev Immunol. 6:629-662.
  3. Eldor R, Klieger Y, Sade-Feldman M, Vaknin I, Varfolomeev I, Fuchs C, Baniyash M. 2015. CD247, a novel T cell-derived diagnostic and prognostic biomarker for detecting disease progression and severity in patients with type 2 diabetes. Diabetes Care. 38(1):113-118.
  4. Call ME, Wucherpfennig KW. 2005. The T cell receptor: critical role of the membrane environment in receptor assembly and function. Annu Rev Immunol. 23:101-125.
  5. Barber EK, Dasgupta JD, Schlossman SF, Trevillyan JM, Rudd CE. 1989. The CD4 and CD8 antigens are coupled to a protein-tyrosine kinase (p56lck) that phosphorylates the CD3 complex. Proc Natl Acad Sci. 86(9):3277-3281.
  6. Veillette A, Bookman MA, Horak EM, Bolen JB. 1988. The CD4 and CD8 T cell surface antigens are associated with the internal membrane tyrosine-protein kinase p56lck. 55(2):301-308.
  7. Wang H, Kadlecek TA, Au-Yeung BB, Sjolin HE, Sjoolin Goodfellow HE, Hsu, LY, Freedman TS, Weiss A. 2010. ZAP-70: An Essential Kinase in T-cell Signaling. Cold Spring Harb Perspect Biol. 2(5): a002279.
  8. Balagopalan L, Kortum RL, Coussens NP, Barr VA, Samelson LE. 2015. The Linker for Activation of T Cells (LAT) Signaling Hub: From Signaling Complexes to Microsclusters. J Biol Chem. 290(44):26422-26429.
  9. Eldor R, Klieger Y, Sade-Feldman M, Vanknin I, Varfolomeev I, Fuchs C, Baniyash M. 2015. CD247, a novel T cell-derived diagnostic and prognostic biomarker for detecting disease progression and severity in patients with type 2 diabetes. Diabetes Care. 38(1):113-118.
  10. Bronstein-Sitton N, Cohen-Daniel L, Vaknin I, Ezernitchi AV, Leshem B, Halabi A, Houri-Hadad Y, Greenbaum E, Zakay-Rones Z, Shapira L, Baniyash M. 2003. Sustained exposure to bacteria lantigen induces interferon-gamma-dependent T cell receptor zeta down-regulation and impaired T cell function. Nat Immunol. 4(10):957-964.
  11. Lahdenpera AI, Falth-Magnusson K, Hogberg L, Ludvigsson J, Vaarala O. 2014. Expression pattern of T-helper 17 cell signaling pathway and mucosal inflammation in celiac disease. Scand J Gastroenterol. 49:145-156.
  12. Grundy S, Plumb J, Lea S, Kaur M, Ray D, Singh D. 2013. Down regulation of T cell receptor expression in COPD pulmonary CD8 cells. PLoS ONE. 8:e71629.
  13. Gorman CL, Russell AI, Zhang Z, Cunninghame Graham D, Cope AP, Vyse TJ. 2008. Polymorphisms in the CD3Z gene influence TCRzeta expression in systemic lupus erythematosus patients and healthy controls. 180:1060-1070.
  14. Baniyash M. 2004. TCR zeta-chain downregulation: curtailing an excessive inflammatory immune response. Nat Rev Immunol. 4(9):675-687.