Fortis Life Sciences

Benefits of Fluorescent Multiplex Immunohistochemistry using Tyramide Signal Amplification

Fluorescent multiplex immunohistochemistry (mIHC) with tyramide signal amplification (TSA) has several advantages over one-color or traditional mIHC.

The benefits listed below support mIHC using TSA as a powerful technique for visualizing multiple targets of interest:

  1. Visualization of multiple targets within a single tissue section.
  2. This is important for instances where sample is limited, such as tumor biopsies or other clinical samples. mIHC allows for collection of the maximal amount of data from a single sample.
  3. Examination of spatial arrangement of targets.
  4. Visualization of multiple targets within a single tissue section also allows for examination of spatial arrangement of targets and better understanding of protein interaction or co-localization within preserved tissue architecture. This examination of spatial arrangement within a single tissue section is not possible with other techniques such as polymerase chain reaction, mass spectrometry, or next-generation sequencing.
  5. Wider dynamic and linear ranges.
  6. As compared to chromogenic detection, fluorophore detection offers wider dynamic and linear ranges, making it easier to visualize both high and low abundance targets on the same slide. Use of TSA also allows for signal amplification of low abundance targets through enhancement of the antigen-associated fluorescence signal.
  7. Simplified panel design.
  8. The permanent nature of the covalent tyramide-tyrosine bond facilitates heat-mediated removal of primary/secondary antibody pairs without disruption of the fluorescence signal. This means that any primary antibody validated for IHC, regardless of host species, can be utilized for each target of interest so long as a primary-specific secondary antibody is used.
  9. Use of DAPI (4′,6-diamidino-2-phenylindole) as a counterstain.
  10. The DNA/nuclear counterstain DAPI is preferable to hematoxylin, since hematoxylin can be obscured by other targets when used in chromogenic staining.
  11. Spectral un-mixing.
  12. Spectral un-mixing ensures that signals from each individual target of interest are differentiated from those of other targets. It also allows for subtraction of the signal arising from tissue autofluorescence.
  13. Streamlined quantitation.
  14. Objective determination of the level of expression of multiple targets of interest can be streamlined by use of an appropriate imaging platform and software. As tissue architecture is preserved in mIHC, visualization of tissue "landmarks" may also assist in accurate quantitation.

Together, these features of fluorescent mIHC using TSA represent a robust approach to tissue analysis. Such analysis has a multitude of applications, such as characterizing molecular signaling or protein-protein interactions, understanding the complex tumor microenvironment, or enabling the development of individually-tailored therapeutic interventions.

Detection of human CD8 (green), CD4 (orange), TIGIT (red), and FOXP3 (cyan) in tonsil by IHC-IF. Antibodies: Rabbit anti-CD8 recombinant monoclonal [BLR044F] (A700-044), rabbit anti-CD4 recombinant monoclonal [BL-155-1C11] (A700-015), rabbit anti-TIGIT recombinant monoclonal [BLR047F] (A700-047) and rabbit anti-FOXP3 recombinant monoclonal [BLR034F] (A700-034). Secondary: HRP-conjugated goat anti-rabbit IgG (A120-501P). Substrate: Opal™ 520, Opal™ 620, Opal™ 690 and Opal™ 480. Counterstain: DAPI (blue).

Detection of human CD8 (green) TIGIT (red) and PD-L1 (cyan) in tonsil by IHC-IF. Antibodies: Rabbit anti-CD8 recombinant monoclonal [BLR044F] (A700-044), rabbit anti-TIGIT recombinant monoclonal [BLR047F] (A700-047) and rabbit anti-PD-L1 recombinant monoclonal [BLR020E] (A700-020). Secondary: HRP-conjugated goat anti-rabbit IgG (A120-501P). Substrate: Opal™ 520, Opal™ 690 and Opal™ 480. Counterstain: DAPI (blue).

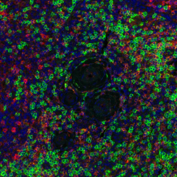
Detection of human CD3 (yellow), CD8 (red), and CD20 (green) in FFPE tonsil. Antibodies: Rabbit anti-CD3e recombinant monoclonal [BL-298-5D12] (A700-016), rabbit anti-CD8a recombinant monoclonal [BLR044F] (A700-044), mouse anti-CD20 monoclonal [L26] (A500-017A). Secondaries: HRP-conjugated goat anti-rabbit IgG (A120-501P) and HRP-conjugated goat anti-mouse IgG (A90-116P). Substrate: Opal™ 520, 620, and 690. Counterstain: DAPI (blue).

Spatial Biology CRO Services

Continue reading about multiplexing with our next blog post, "Evolution and Future of Multiplex Immunohistochemistry using Tyramide Signal Amplification."