Fortis Life Sciences

PrimeCare™ Blood Separation Membranes for In-Vitro Diagnostics

Blood separation membranes are critical components in modern diagnostic assays, enabling the precise isolation of plasma from whole blood samples. Fortis Life Sciences offers advanced Poly-ether Sulfone (PES) asymmetric red blood cell separation membranes under our PrimeCare™ brand, specifically engineered for optimal performance in diagnostic applications.

Learn More
Image of diagnostic test kit representing the application of blood separation membranes

How Do PrimeCare™ Membranes Work?

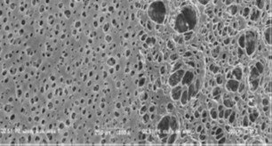
  • Unique pore-size gradient: 40-50μm (top surface) to 2-3μm (bottom surface)
  • Large-pore surface entry points for whole blood samples
  • Gradually decreasing pore sizes through the membrane depth
  • Precision-engineered filtration effectively traps red blood cells (RBCs) while allowing plasma to flow through
Magnified image of blood separation membrane by Fortis life sciences with 2-3µm pore size on membrane bottom (left side) and 40-50µm pores on membrane top (right side)

2-3µm pore size on membrane bottom (left side) and 40-50µm pores on membrane top (right side)

Key Features & Benefits

  • High Efficiency: High separation efficiency per cm² allowing for efficient red blood cell isolation
  • Sample Integrity: Custom coating solutions to minimize or eliminate red blood cell hemolysis, ensuring optimal sample integrity
  • Customizable: Customized pore sizes and thickness options to prevent red blood cell leakage and regulate migration speed
  • Filtration Speed: Rapid separation time as quick as 60s/cm² depending on hematocrit and membrane characteristics
  • Consistent Results: Inert and resistant to protein binding, delivering reliable and consistent results reinforced through ISO 13485 certification

Discover Our Membrane Solutions

PrimeCare™ S/G

Our flagship membrane combines robust separation with superior sample protection. Its high-concentration proprietary anti-hemolytic coating ensures optimal red blood cell integrity while maintaining efficient plasma separation. Perfect for applications requiring reliable, consistent performance with samples of up to 150μL of whole blood.

PrimeCare™ X

When speed and precision matter most, our X membrane delivers. This thinner profile membrane offers faster filtration and is specifically engineered for small sample volumes or applications requiring controlled plasma release. It can work independently or in tandem with an S/G membrane for metered release in larger volume applications (>200μL).

Table comparing features of S/G Membrane and X Membrane, including description, coating, pore size range, filtration speed, applications, and dimensional flexibility.

Explore Our Customization Capabilities

At Fortis, we understand that every diagnostic application is unique. That's why we offer extensive customization options to ensure optimal performance for your specific requirements:

Membrane Properties

Custom Coating Solutions

Ranging rom our proprietary anti-hemolytic coating to uncoated options for specific assay requirements

Adjustable Dimensions

Flexible sizing from 7mm to 114.3mm ribbon widths

Scale-Flexible Format

Available in evaluation rolls (10 meters) to commercial-scale lengths (100 meters)

Integration Support

Format Optimization

Work with our experts to determine the ideal membrane configuration

Assembly Compatibility

Adhesive recommendations and integration guidance for your device design

Surface Treatment

Specialized coating options to match your assay sensitivity requirements

Applications That Drive Innovation

PrimeCare™ membranes are powering advancements across the diagnostic landscape:

  • Point-of-Care Revolution: Enable rapid, accurate testing where it matters most
  • Advanced Lateral Flow Systems: Enhance sensitivity and reliability in your diagnostic devices
  • Microfluidic Platforms: Perfect integration for sophisticated diagnostic instruments
  • Blood Analysis Solutions: Achieve precise plasma separation for critical testing


Quality You Can Trust

We understand that reliability is non-negotiable in diagnostics. That's why every PrimeCare™ membrane is:

  • Manufactured in our state-of-the-art ISO 13485 certified facility
  • Tested for consistent performance across every batch
  • Validated for uniform coating application
  • Inspected for structural perfection
  • Backed by our technical expertise

Request Your Free Evaluation Samples Today

Take the first step toward optimizing your assay performance. Our team provides:

  • Complimentary evaluation samples (8" x 12" sheets)
  • Expert technical consultation
  • Hands-on support for integration
  • Detailed guidelines for optimal use

Contact our technical experts today to receive your free samples and discover how PrimeCare™ membranes can elevate your diagnostic solutions.

Please fill out the form below for detailed information or to receive your free sample: